DIABETIC RETINOPATHY SYMPOSIUM

Medical Diabetic Retinopathy Session

Evidence-Based Clinical Recommendations for Managing Diabetic Retinopathy

This session provides evidence-based clinical recommendations and resources for ophthalmologists to manage diabetic retinopathy. The session includes image features, videos, and additional resources to help ophthalmologists improve their practice.

Session Overview

This session provides evidence-based clinical recommendations and resources for ophthalmologists to manage diabetic retinopathy. The session includes image features, videos, and additional resources to help ophthalmologists improve their practice.

  • OCT for DME: Non-invasive diagnostic imaging for diabetic macular edema detection, measurement, and monitoring.
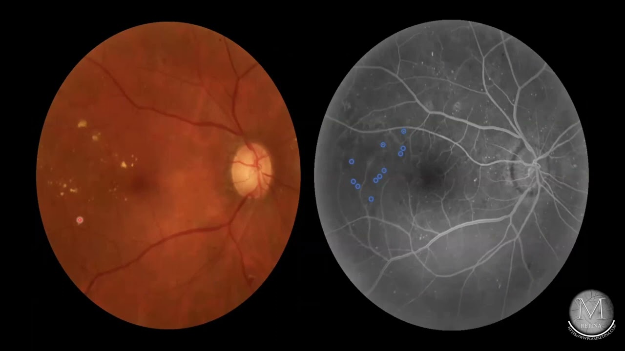
  • FFA for Diabetic Retinopathy and DME: Fluorescein angiography for evaluating retinal blood flow, microvascular leaks, and ischemic changes.
  • DME Management: Latest anti-VEGF therapies, corticosteroid implants, and treatment protocols for diabetic macular edema.
  • Medical Management of Diabetic Vitreous Hemorrhage: Clinical examination, B-scan evaluation, OCT assessment, and treatment strategies including PRP and anti-VEGF.
OCT FFA DME Anti-VEGF Vitreous Hemorrhage

🎤 Speakers & Talks

Four focused presentations by expert ophthalmologists covering key aspects of medical management of diabetic retinopathy.

Session Presenters

Dr. Marwa Baba

📋 OCT for DME

Syrian ophthalmologist, graduated with a Doctor of Medicine degree from Aleppo University in Syria in 2018, and obtained Syrian Board in ophthalmology in 2022. She is working in Marashi Eye Clinic, with one publication and is the Translator of the Clinical guidelines for approaching and managing common retinal diseases written by Dr. Ameen Marashi and assisted Dr. Ameen Marashi with his other publications.

Dr. Ameen Marashi

📋 FFA for Diabetic Retinopathy and DME

Syrian ophthalmologist and retina specialist. He has published a number of books and research articles in the field of retina and is the Al-Marashi Clinics Group owner. He graduated with a Diploma degree in Medicine from the Chuvash State University Institute of Medicine in 2008, and a certificate from the International Council of Ophthalmology in 2013, and completed a specialization in ophthalmology in Tartous Hospitals in 2009, and from 2010 until 2013 in Aleppo, and obtained a certificate Syrian Board 2016.

Dr. Mohammed Abdulwahab Al Amri

📋 DME Management

MBBS, MD, HSDO, Anterior segment surgeon & Medical Retina Specialist Ophthalmologist. Founder, First President of Gulf Retina group (GRG). Founder, Vice President and Head of Scientific and Organizing Committee of QOIC. President and Head of Scientific Committee of MEOM. Adjunct professor in Medical College of Sharjah University 2012-2018.

Dr. Zeina Al Junaidi

📋 Diabetic Retinopathy Management

Graduated from Kalamoon private university with a medical degree in 2015. Obtained 3 certificates from the International Council of Ophthalmology (2017-2019). Membership of the Royal College of Surgeons of Edinburgh (2020). Master training program of ophthalmology from eye surgical hospital Damascus Syria. Certificate of Syrian Board of Ophthalmology 2020. Certificate of Arab Board of Ophthalmology 2021. A practicing ophthalmologist in Damascus, Syria.

Dr. Ameen Marashi

📋 Medical Management of Diabetic Vitreous Hemorrhage

Syrian ophthalmologist and retina specialist. He has published a number of books and research articles in the field of retina and is the Al-Marashi Clinics Group owner.

🎬 Session Videos

Watch each presentation from the Medical Diabetic Retinopathy Session.

OCT for DME

Dr. Marwa Baba

OCT for DME

FFA for Diabetic Retinopathy and DME

Dr. Ameen Marashi

FFA for Diabetic Retinopathy and DME

DME Management

Dr. Mohammed Al Amri

DME Management

Diabetic Retinopathy Management

Dr. Zeina Al Junaidi

Diabetic Retinopathy Management

Medical Management of Diabetic Vitreous Hemorrhage

Dr. Ameen Marashi

Medical Management of Diabetic Vitreous Hemorrhage

Q&A — Panel Discussion

All Speakers

Q&A Panel Discussion

📝 Meeting Summary

Key takeaways from each presentation in the Medical Diabetic Retinopathy Session.

Talk Summaries

OCT for DME

OCT is an effective non-invasive diagnostic tool that can diagnose and monitor patients with DME and diabetic retinopathy. It provides high-resolution cross-sectional images of the macula, which helps to detect, measure, and locate DME. The presentation emphasized the importance of using OCT in tracking the treatment response and follow-up prognosis to improve patient outcomes.

FFA for Diabetic Retinopathy and DME

FFA is a powerful diagnostic tool that can help evaluate the blood flow status of both the macula and the retina's periphery. It produces informative images of the dynamic flow of retinal vessels, which can aid in detecting and localizing microvascular leaks and ischemic changes at the macula. This, in turn, helps locate subtle neovascularization, IRMA, and peripheral ischemic changes, all of which can affect our treatment plan.

DME Management

In recent years, significant advancements have been made in the management of Diabetic Macular Edema (DME), opening up new possibilities for patients with this condition. These emerging breakthroughs include innovative treatment options, such as anti-vascular endothelial growth factor (anti-VEGF) therapies and corticosteroid implants, which have shown promising results in improving visual outcomes.

With these advancements, the future of DME management is looking brighter, providing hope for a better quality of life for those affected by this sight-threatening condition.

  • Management of DME improving with new molecules concerning BCVA, CRT, Durability & Safety
  • We are still in need of better and optimal medications to treat DME
  • The availability of different molecules for treating DME gives us the capability of selecting suitable molecules for the patient

Diabetic Retinopathy Management

It is crucial to determine the stage of diabetic retinopathy during the clinical examination before deciding on the treatment. Mild to moderate NPDR may only require follow-up, but very severe NPDR to high-risk PDR may need PRP treatment as it is highly effective. However, anti-VEGF treatment can be beneficial, especially when combined with DME or in cases of high-risk PDR.

Medical Management of Diabetic Vitreous Hemorrhage

When diabetic patients experience vitreous hemorrhage, it is important to perform a clinical examination and questionnaire to rule out any peripheral retinal lesion and document previous ocular treatments. B-scan evaluation and OCT are also necessary to assess the case and determine the appropriate management plan accurately.

Medically, vitreous hemorrhage should be treated with PRP, if the fundus view permits. However, if there is no TRD and laser application is not possible, or if there is DME, then anti-VEGF can be used to clear up the hemorrhage and manage any co-existing DME. On the other hand, if the case is associated with RD, then PPV is the main treatment of choice.

⚠️ Educational Use Disclaimer

This session content is designed for professional education among ophthalmologists. The presentations represent expert opinions based on current evidence and are intended for educational purposes only. All clinical decisions must be made by qualified specialists based on individual patient assessment and established treatment guidelines.

Explore the full symposium

Watch both medical and surgical sessions on the mRetina Meeting platform.

Elevate Your Practice

Beyond collaborative meetings, explore our AI tools, curated video courses, and digital textbooks.